ISO 21149化妆品中需氧嗜温菌检测

ISO 21149标准描述

ISO 21149 Cosmetics - Microbiology - Enumeration and detection of aerobic mesophilic bacteria

ISO 21149化妆品 微生物学 需氧嗜温细菌的计数和检测


ISO 21149标准介绍

在化妆品微生物质量控制体系中,需氧嗜温菌(Aerobic Mesophilic Microorganisms)的检测是最基础的监测项目之一,它能够反映产品整体的微生物负荷情况,是判定化妆品卫生状况的重要数据来源。ISO 21149用于对化妆品及相关样品中的需氧嗜温菌进行计数和检测。

ISO 21149化妆品中需氧嗜温菌检测

需氧嗜温菌(Aerobic Mesophilic Microorganisms)定义

在ISO 21149中,需氧嗜温菌被定义为能够在规定条件下(约32.5°C ± 2.5°C)以好氧方式生长的微生物群体,包括细菌,也可能包括少量酵母或霉菌,这类微生物通常用于反映样品的总体微生物水平。

ISO 21149化妆品中需氧嗜温菌检测

ISO 21149适用范围

ISO 21149适用于所有化妆品及用于化妆品生产的原材料。尤其是适用于易受需氧细菌微生物污染的化妆品、美容产品和个人护理产品。如:

乳霜和乳液creams and lotions

洗发水与护发素shampoos and conditioners

液体皂liquid soaps and shower gels

彩妆和化妆品make-up and skincare products

化妆品原料raw materials used in cosmetic production

ISO 21149化妆品中需氧嗜温菌检测

注:虽然ISO 21149适用于多种化妆品,但对于某些不溶于水的配方,可能需要采用替代方法进行测试。


ISO 21149测试

ISO 21149化妆品中需氧嗜温菌检测

首先将1克或1毫升化妆品测试样品,把它加入到增菌液中,制备初始悬液(initial suspension)。标准提供了三类检测路线:平板计数法、膜过滤法与富集法。

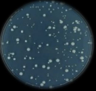
(1)平板计数法(Plate method)

在ISO 21149方法中,平板计数是检测需氧嗜温菌最常用的步骤。检测时,需要根据标准制备专用培养基,然后将样品的初始悬液按要求稀释后接种到平皿中。接种后的平板会在32.5°C ± 2.5°C的条件下进行72小时(±6小时)的需氧培养。培养完成后,计数菌落形成单位(CFU),并计算样品每克或每毫升中需氧嗜温菌的数量。

(2)膜过滤法(Membrane filtration)

对于液体样品或微生物含量较低的样品,可以采用膜过滤法。方法是将规定体积的样品通过膜过滤器,并使用适宜的无菌稀释液清洗过滤系统,使微生物截留在滤膜表面。随后将滤膜转移到固体培养基上,同样在32.5°C ± 2.5°C培养72小时(±6小时)。培养结束后,对滤膜上的菌落进行计数,并计算每毫升或每克样品中的需氧嗜温菌数量。

(3)富集法菌(Enrichment broth method)

如果预计样品中微生物含量非常低,可以使用富集法检测。将样品与富集培养基混合后,在32.5°C ± 2.5°C条件下培养至少20小时。培养完成后,取一部分富集液转移到非选择性固体培养基上,再在同一温度条件下继续培养48--72小时。最终观察是否出现菌落,用"检出/未检出"表示需氧嗜温菌是否存在。


ISO 21149判断依据

计算以细菌计数(CFU/mL或CFU/g)或需氧嗜温细菌的存在/缺失。


赛德斯威(SATISFY)专注于化妆品检测与法规研究。服务覆盖美国、加拿大、欧盟、澳大利亚、东盟、中国等全球主要市场,提供各国及地区化妆品功效评估、法规咨询、安全评估与检测服务。更多信息请联系赛德斯威客服获取专业指导与一站式检测认证支持。